〒470-0331 愛知県豊田市平戸橋町永和131
名鉄三河線「平戸橋駅」から徒歩3分
東海環状自動車道「豊田勘八IC」より車で7分

※土曜日は~18:30まで、定休日:木曜・日曜・祝祭日

受付時間  月     火     水     木     金     土     日
09:00~12:04  ○     ○     ○     ー     ○     ○     ー
15:45~19:30  ○     ○     ○     ー     ○     ※     ー

お電話でのお問合せ・ご相談・ご予約

0565-45-3333

滑って転倒し受傷した橈骨遠位端骨折

前腕遠位部の変形を認めます

初回来院時

明らかな変形

外観上明らかな変形を認めます

今回は滑って転倒し、橈骨遠位端骨折を受傷された方をご紹介します。

救急でレントゲン検査を行って骨折ははっきりしないと言われたそうですが、外観写真でも確認できるほどの変形を認めました。

骨折を強く疑い、触診やエコーで確認いたしました。

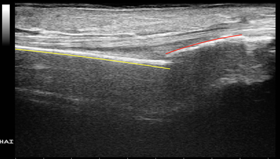
触診とエコー検査

整復前

黄色線:近位骨片
赤色線:遠位骨片

触診により確認していくと、橈骨遠位部が変形し骨折していることが強く疑われました。

念のためエコーでも確認してみると、橈骨遠位端部が骨折し、転位(骨がずれて変形)していることが確認できました。

転位をそのままにしておくと後遺症が残りやすいため、患者さんにご説明し整復操作を行うことといたしました。

整復操作

整復後

黄色線:近位骨片
赤色線:遠位骨片

整復操作を行うと、骨折部で変形していた骨が戻っているのが確認できました。

今後は提携先の整形外科さんと連携しながら経過をみさせていただく予定です。

変形していた骨も的確な整復操作で変形が戻りました。その後はギプス固定で再転位を防止しながら骨癒合を促します。

当院では、このように転位のある重度の骨折でも正確な整復操作と的確な固定で対応しております。

当院がしっかりとサポートいたします。

骨折の有無の確認も的確に行いますので、転倒し手をついてしまった場合などはお気軽にご相談ください。

お問合せ・ご予約はこちら

お気軽にお問合せください

お電話でのお問合せはこちら

0565-45-3333

受付時間:午前9:00~12:04 午後15:45~19:30
※土曜日〜18:30まで
定休日:木曜・日曜・祝祭日

LINE公式アカウント(@856mxprz)からもお問合せ・ご予約できます

日本全国で8000万人が使用していると言われる、LINE。みなさんのご希望は簡単に相談できることと考え、このような体制を整えました。ぜひお気軽に友達追加をして、ご相談ください。

友だち追加

休日の救急対応はLINEから!

当院が休日の場合に、急なお怪我をされ受診をご希望の方はLINEでお問合せください。

友達追加をしていただき、メッセージからお問合せ内容を送信してください。可能な限り対応いたします。

どうぞお気軽にご相談、お問合せください。

お問合せ・ご予約

お電話でのお問合せ・ご予約

0565-45-3333

フォーム・メールでのお問合せ・ご予約は24時間受け付けております。お気軽にご連絡ください。

LINE公式アカウントからのお問合せ(@856mxprz)

お手軽にお問合せ・ご予約できるようLINEでの対応も可能となりました。下記ボタンより友だち追加し、お気軽にお問合せ・ご相談ください。時間外の急なお問合せもLINEからご連絡ください。(24時間受付)

友だち追加

お客さまの声

丁寧な対応に安心

豊田市の原様

永田接骨院さんには丁寧に対応していただき、安心して利用できました。

人にお勧めしたい

豊田市のN様

知人にも、ぜひ永田接骨院さんをお勧めしたいです。今後ともよろしくお願いします。

院長ごあいさつ

永田 和平

親切・丁寧な対応をモットーとしておりますのでお気軽にご相談ください。 

精密検査が必要と判断した場合は、「米田病院」をご紹介しております

アクセス・受付時間

住所

〒470-0331
愛知県豊田市平戸橋町永和131

アクセス

名鉄三河線「平戸橋駅」から徒歩3分
東海環状自動車道「豊田勘八IC」より車で7分

受付時間
 
午前
午後

午前9:00~12:04 午後15:45~19:30
※土曜日の午後は〜18:30まで

定休日

木曜・日曜・祝祭日

友だち追加