〒470-0331 愛知県豊田市平戸橋町永和131
名鉄三河線「平戸橋駅」から徒歩3分
東海環状自動車道「豊田勘八IC」より車で7分

※土曜日は~18:30まで、定休日:木曜・日曜・祝祭日

受付時間  月     火     水     木     金     土     日
09:00~12:04  ○     ○     ○     ー     ○     ○     ー
15:45~19:30  ○     ○     ○     ー     ○     ※     ー

お電話でのお問合せ・ご相談・ご予約

0565-45-3333

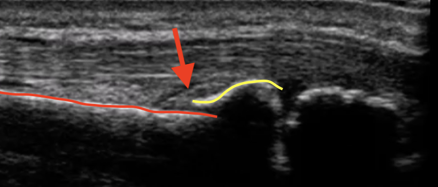
サッカーで受傷した橈骨遠位端骨折

固定も適切でないと骨が変形してしまいます

変形するほどの骨折

サッカーにて橈骨遠位端を骨折

骨が変形して、骨のライン(赤線と黄色線)がずれてしまっています

今回は、中学3年生のサッカー少年です。

サッカーの試合中、相手のシュートしたボールが手に当たり受傷されました。

手首が変形するほどの重度の骨折でした。

保存療法を行いました

整復操作をして骨のラインが元通りになっています

当院は、骨折で変形してしまった骨を元に戻す整復という操作を得意としています。

今回も、大きな変形がありましたが整復を行い、骨折がわからないほどの綺麗な位置に戻すことができました。

このような骨折は、手術になってしまうことも少なくありません。手術は痛みも強く、後遺症が残るリスクもあります。

可能なら手術をしないで保存療法を行うことが望ましいと考えています。

サッカーへ完全復帰!!!

可動域も回復しました

  • 適切な整復
  • 適切な固定
  • 適切なリハビリトレーニング

この全てが揃って初めて「良い保存療法」と言えます。

例えば、手術がとてもうまくいっても、固定やリハビリを適切に行わないとなかなか痛みがとれず、筋力も戻りません。

保存療法も手術療法も固定だけ、リハビリだけでは不十分です。

全てをこなし、サッカーへ完全復帰しました。

変形を伴う重度の骨折も当院の保存療法なら対応可能です。

急なお怪我でお困りの際はお気軽にご相談ください。

お問合せ・ご予約はこちら

お気軽にお問合せください

お電話でのお問合せはこちら

0565-45-3333

受付時間:午前9:00~12:04 午後15:45~19:30
※土曜日〜18:30まで
定休日:木曜・日曜・祝祭日

LINE公式アカウント(@856mxprz)からもお問合せ・ご予約できます

日本全国で8000万人が使用していると言われる、LINE。みなさんのご希望は簡単に相談できることと考え、このような体制を整えました。ぜひお気軽に友達追加をして、ご相談ください。

友だち追加

休日の救急対応はLINEから!

当院が休日の場合に、急なお怪我をされ受診をご希望の方はLINEでお問合せください。

友達追加をしていただき、メッセージからお問合せ内容を送信してください。可能な限り対応いたします。

どうぞお気軽にご相談、お問合せください。

お問合せ・ご予約

お電話でのお問合せ・ご予約

0565-45-3333

フォーム・メールでのお問合せ・ご予約は24時間受け付けております。お気軽にご連絡ください。

LINE公式アカウントからのお問合せ(@856mxprz)

お手軽にお問合せ・ご予約できるようLINEでの対応も可能となりました。下記ボタンより友だち追加し、お気軽にお問合せ・ご相談ください。時間外の急なお問合せもLINEからご連絡ください。(24時間受付)

友だち追加

お客さまの声

丁寧な対応に安心

豊田市の原様

永田接骨院さんには丁寧に対応していただき、安心して利用できました。

人にお勧めしたい

豊田市のN様

知人にも、ぜひ永田接骨院さんをお勧めしたいです。今後ともよろしくお願いします。

院長ごあいさつ

永田 和平

親切・丁寧な対応をモットーとしておりますのでお気軽にご相談ください。 

精密検査が必要と判断した場合は、「米田病院」をご紹介しております

アクセス・受付時間

住所

〒470-0331
愛知県豊田市平戸橋町永和131

アクセス

名鉄三河線「平戸橋駅」から徒歩3分
東海環状自動車道「豊田勘八IC」より車で7分

受付時間
 
午前
午後

午前9:00~12:04 午後15:45~19:30
※土曜日の午後は〜18:30まで

定休日

木曜・日曜・祝祭日

友だち追加